Before & Afters

Real Patient Transformations

Changing Lives, One Smile At A Time

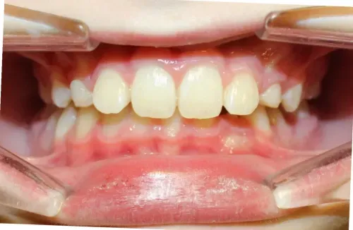
Many patients step into our practice with dreams of a brand new grin. Others are looking to straighten their teeth and restore the beauty and function of their smile. Seeing these individuals walk out of our doors with a great smile and newfound confidence is the reason behind our mission here at Sweet Peach Orthodontics. No matter your goals, we’re honored to be a part of your oral health journey. Take a look at our Before & After gallery to explore real patient stories!

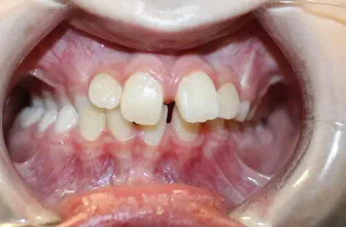
before
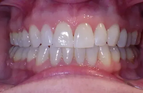
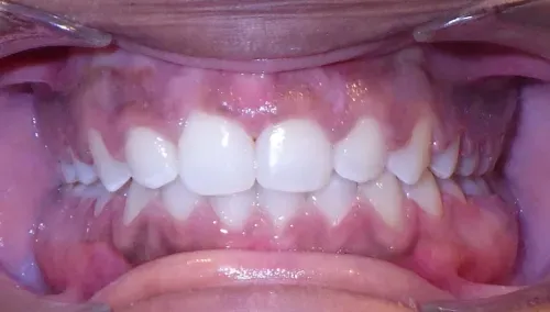
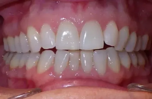
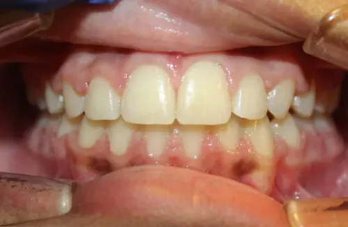
after
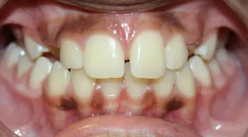
before
after
before
after
before
after
before
after
before
after
before
after
Expert care, compassionate approach

Book a Visit Today!

Get In Touch

Request an Appointment